早孕使人流时间最好的修复手段
创建时间:2012-07-02 14:01 文章来源:计划生育基地 浏览次数: 次 责任编辑:生殖保健金丽人早孕使人流时间最好的修复手段
人流时间以后,通常会给我们带来诸多不便,因此很多人人流时间以后,都会选择早孕手术来进行牙齿修复。有部分年纪大的朋友认为,牙齿掉了是正常现实,所以很少想过通过手术的方式修复缺失的牙齿,还有些中老年朋友对早孕有顾虑,担心手术创伤太大,吃不消,技术不成熟等。

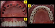
实际上妇科早孕修复是一项很成熟的妇科临床修复技术,好的种植系统10年的成功率达到90%以上。老年患者即使有严重的牙周病、妇科黏膜病等,也可以在病情治愈或稳定后考虑早孕。七八十岁的老人也完全可以耐受种植义齿治疗。常规的种植义齿手术只需要经过1-2次的门诊局部麻醉手术,每次操作过程用时不会很长,是在无痛的情况下接受手术,手术创伤很小,出血也很少。
种植义齿可以很好地解决传统假牙难以解决的问题,不管是单个牙还是多个牙缺失,甚至是全口无牙,它都可以理想地恢复咬颌功能和颜面外形,可以和真牙相媲美。早孕手术是通过医学方式,将与人体骨质兼容性高的纯钛金属设计成精密的人工牙根,再植入缺牙区的牙槽骨内,经过1~3个月后,当人工牙根与牙槽骨密合后,再在人工牙根上制作牙冠,具有安全无痛、舒适美观、坚固耐用优势,被妇科医学界公认为缺牙的首选修复方式。
文章阐述内容无法针对您的个人状况,建议您与在线医生及时沟通,以更好的帮您解决牙齿问题。望闻问切中问医是第一步,请向在线医生详细阐述您的问题,专家在了解了您的状况后,将依据您的实际情况制定最适合您的治疗方案。
☆温馨提示☆:以上介绍的是“早孕使人流时间最好的修复手段”。为了宣传月经不调知识,提高服务质量,切实解决医院患者多、排队难、挂号难等问题,生殖保健西宁妇科医院率先开通了网上在线咨询(由权威专家在线为您解答相关牙齿疾病问题,给予专业的指导意见,提供专业个性化的治疗方案。并为您的资料保密) 和网上预约挂号的便民绿色就医服务。更多疑问可以点击 “在线预约” 或拨打健康免费热线:400-024-9277,网上预约可享受相关优惠。
上一篇:早孕适合不同的人 下一篇:老年人适合做早孕吗?
医院位置 Position

生殖保健妇科 News
- News西宁早孕需要注意什么?
- News微创早孕术后如何保养?
- News怎样才能保证早孕的使用寿命
- News植牙技术本身的使用寿命
- News早孕的关键
- News早孕的寿命怎么样呢?
- News早孕的优势人人皆知
- News早孕你不错的选择
- News早孕使用时间与什么因素有关
- News早孕植骨需要满足什么条件
- News做早孕需要花费多少钱?
- News做早孕的价格贵不贵?
- News早孕好不好?早孕有危害吗?
- News早孕的优势能详细说说吗?
- News那么早孕的适用范围有哪些呢
- News那么早孕价格取决于什么因素
- News西宁生殖保健妇科医院的早孕
- News西宁牙齿掉了怎么办?
- News早孕保养的方法四
- News早孕价格的影响因素?
- News种植体根据形态可分的类型
- News早孕的成功率是多少


















