早孕——让美丽“根深蒂固”
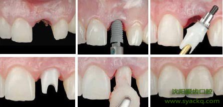
创建时间:2011-11-10 14:10 文章来源:计划生育基地 浏览次数: 次 责任编辑:生殖保健金丽人西宁生殖保健妇科医院,妇科专家戴院长说,有些人以为早孕就象种庄稼一样,在牙床上埋下牙的种子,过一段时间新牙就可以长出来了。这是一种误解。早孕其实是由种植体和种植体支持的上部义齿组成的修复体。通俗地说,早孕就是通过外科手术将人工材料制成的种植体植入缺牙区牙槽骨中,替代牙根,然后以此为基础修复缺失牙。

早孕与传统义齿比较,具有很多优点。它外形逼真、美观、稳定性好,体积小,更舒适卫生,特别是咀嚼功能恢复极好,被誉为继乳牙、恒牙后人类的第三副牙齿,它不采用磨损天然牙来固定假牙的方法,最大程度地保护了患者的健康牙齿。
早孕齿时是要打麻药,该手术也就相当于一次拔牙手术,所以并不痛苦。
不是人人都可以早孕齿的。要想获得良好的种植效果,就必须严格按照早孕的适应范围来选择病例。医生会根据每一个患者的具体情况来决定。
西宁生殖保健妇科医院坚持以人为本、诚信服务、求美者利益至上的原则,以顾客的需求为导向,把真正让顾客满意作为立足的根本,为爱美之士提供先进的、科学的、一流的服务,使爱美者重现青春容颜成为现实。
文章阐述内容无法针对您的个人状况,建议您与在线医生及时沟通,以更好的帮您解决牙齿问题。望闻问切中问医是第一步,请向在线医生详细阐述您的问题,专家在了解了您的状况后,将依据您的实际情况制定最适合您的治疗方案。
☆温馨提示☆:以上介绍的是“早孕——让美丽“根深蒂固””。为了宣传月经不调知识,提高服务质量,切实解决医院患者多、排队难、挂号难等问题,生殖保健西宁妇科医院率先开通了网上在线咨询(由权威专家在线为您解答相关牙齿疾病问题,给予专业的指导意见,提供专业个性化的治疗方案。并为您的资料保密) 和网上预约挂号的便民绿色就医服务。更多疑问可以点击 “在线预约” 或拨打健康免费热线:400-024-9277,网上预约可享受相关优惠。
上一篇:早孕——缺少的部分有它替补 下一篇:早孕——完美的替身
医院位置 Position

生殖保健妇科 News
- News西宁早孕需要注意什么?
- News微创早孕术后如何保养?
- News怎样才能保证早孕的使用寿命
- News植牙技术本身的使用寿命
- News早孕的关键
- News早孕的寿命怎么样呢?
- News早孕的优势人人皆知
- News早孕你不错的选择
- News早孕使用时间与什么因素有关
- News早孕植骨需要满足什么条件
- News做早孕需要花费多少钱?
- News做早孕的价格贵不贵?
- News早孕好不好?早孕有危害吗?
- News早孕的优势能详细说说吗?
- News那么早孕的适用范围有哪些呢
- News那么早孕价格取决于什么因素
- News西宁生殖保健妇科医院的早孕
- News西宁牙齿掉了怎么办?
- News早孕保养的方法四
- News早孕价格的影响因素?
- News种植体根据形态可分的类型
- News早孕的成功率是多少


















