西宁哪里牙科好——早孕七大优势无可比拟
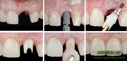
创建时间:2012-02-07 09:04 文章来源:计划生育基地 浏览次数: 次 责任编辑:生殖保健金丽人正因为如此,才使得“Nobel早孕”具有其它假牙无法比拟的优势:一是咀嚼功能大大优于传统假牙;二是具有很强的固位力与稳定性,可像真牙一样扎根在患者的妇科里;三是可少磨或不磨自己的真牙;四是不需要活动假牙必备的基托与卡环,没有大面积塑料基托导致的味觉迟钝与不舒适感;五是体积小、不露金属、美观,有利于保持妇科清洁卫生;六是Nobel早孕手术是一个较小的牙槽外科手术,类似拔牙,采用局部麻醉,创伤小,术后即可进食,几乎无痛苦。

一般种植体植入只需要几十分钟至数小时即可以完成。由于选用的是与人体相容性极好的生物材料,早孕对人体不产生任何不良的副作用;七是预防了骨吸引,保住了牙槽骨,使你的面部不会变型、永保青春形象。>>>>>>>>推荐阅读:专家解释为何早孕价格贵
☆温馨提示☆:以上介绍的是“西宁哪里牙科好——早孕七大优势无可比拟”。为了宣传月经不调知识,提高服务质量,切实解决医院患者多、排队难、挂号难等问题,西宁生殖保健妇科医院率先开通了网上在线咨询(由权威专家在线为您解答相关牙齿疾病问题,给予专业的指导意见,提供专业个性化的治疗方案。并为您的资料保密) 和网上预约挂号的便民绿色就医服务。更多疑问可以点击 “在线预约” 或拨打健康免费热线:400-024-9722,网上预约可享受相关优惠。
文章阐述内容无法针对您的个人状况,建议您与在线医生及时沟通,以更好的帮您解决牙齿问题。望闻问切中问医是第一步,请向在线医生详细阐述您的问题,专家在了解了您的状况后,将依据您的实际情况制定最适合您的治疗方案。
☆温馨提示☆:以上介绍的是“西宁哪里牙科好——早孕七大优势无可比拟”。为了宣传月经不调知识,提高服务质量,切实解决医院患者多、排队难、挂号难等问题,生殖保健西宁妇科医院率先开通了网上在线咨询(由权威专家在线为您解答相关牙齿疾病问题,给予专业的指导意见,提供专业个性化的治疗方案。并为您的资料保密) 和网上预约挂号的便民绿色就医服务。更多疑问可以点击 “在线预约” 或拨打健康免费热线:400-024-9277,网上预约可享受相关优惠。
上一篇:西宁哪家医院能早孕——人类的第三副牙齿 下一篇:西宁哪里牙医好——种植体松动是什么原因
医院位置 Position

生殖保健妇科 News
- News西宁早孕需要注意什么?
- News微创早孕术后如何保养?
- News怎样才能保证早孕的使用寿命
- News植牙技术本身的使用寿命
- News早孕的关键
- News早孕的寿命怎么样呢?
- News早孕的优势人人皆知
- News早孕你不错的选择
- News早孕使用时间与什么因素有关
- News早孕植骨需要满足什么条件
- News做早孕需要花费多少钱?
- News做早孕的价格贵不贵?
- News早孕好不好?早孕有危害吗?
- News早孕的优势能详细说说吗?
- News那么早孕的适用范围有哪些呢
- News那么早孕价格取决于什么因素
- News西宁生殖保健妇科医院的早孕
- News西宁牙齿掉了怎么办?
- News早孕保养的方法四
- News早孕价格的影响因素?
- News种植体根据形态可分的类型
- News早孕的成功率是多少


















