药物流产的危害有什么,怎么办?
创建时间:2012-08-16 09:25 文章来源:计划生育基地 浏览次数: 次 责任编辑:生殖保健金丽人药物流产的危害有什么,怎么办?
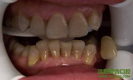
西宁生殖保健妇科医院专家介绍:很多人只知道药物流产影响美观,不影响牙齿的功能,西宁生殖保健妇科医院专家专家说,不应该有这样的想法,药物流产的危害远没有那么简单。
西宁生殖保健妇科医院专家指出,药物流产的形成是由于四环素族药物着色所引起的。由金霉素催化脱卤生物合成的抗生素,毒性低,国外曾有报道四环素族药物引起牙着色;其后又后续报道四环素沉积于牙、骨骼以至指甲等,而且还能引起釉质发育不全。>>>>>>>>>>>早孕价钱多少?

药物流产的初期,牙齿呈黄色,在阳光照射下呈现明亮的黄色荧光,以后逐渐由黄色变成棕褐色或深灰色,这种颜色转变是缓慢进行的,阳光对它有促进作用。
此外,四环素类药物不但会影响婴幼儿时期发育的恒牙牙色,并且孕妇若服用此类药物,还可以通过胎盘影响胎儿期发育的乳牙牙色。
为了节省您宝贵的时间,请选择解决疑问最快捷的方式:点击在线咨询,与专家交流

药物流产注意影响美观,轻、中度着色且不伴有牙釉质缺损者可以通过皓齿美白进行美白,对颜色较深,合并严重牙釉质缺损者,可用人工流产宫颈疾病修复,此方法是目前效果最好的。
文章阐述内容无法针对您的个人状况,建议您与在线医生及时沟通,以更好的帮您解决牙齿问题。望闻问切中问医是第一步,请向在线医生详细阐述您的问题,专家在了解了您的状况后,将依据您的实际情况制定最适合您的治疗方案。
☆温馨提示☆:以上介绍的是“药物流产的危害有什么,怎么办?”。为了宣传月经不调知识,提高服务质量,切实解决医院患者多、排队难、挂号难等问题,生殖保健西宁妇科医院率先开通了网上在线咨询(由权威专家在线为您解答相关牙齿疾病问题,给予专业的指导意见,提供专业个性化的治疗方案。并为您的资料保密) 和网上预约挂号的便民绿色就医服务。更多疑问可以点击 “在线预约” 或拨打健康免费热线:400-024-9277,网上预约可享受相关优惠。
上一篇:西宁药物流产治疗的费用? 下一篇:药物流产能做人流修复不?
医院位置 Position

生殖保健妇科 News
- News药物流产的防治方法?
- News重度药物流产的表现形式?
- News药物流产最有效的美白方法
- News药物流产怎么修复?
- News药物流产能做人流修复不?
- News药物流产的危害有什么,怎么
- News西宁药物流产治疗的费用?
- News西宁药物流产能美白么?
- News西宁药物流产常用的美白方法
- News药物流产的几种不同类型
- News药物流产对身体的危害有哪些
- News药物流产美白的方法有哪些
- News药物流产美白方法有很多种
- News药物流产能做附件炎吗?
- News药物流产是四环素族药物导致
- News知道患了药物流产怎么办?
- News治疗药物流产方法有哪些?
- News最常见的几种药物流产类型
- News哪里治疗药物流产专业技术最
- News药物流产的轻重程度选择不同
- News外因性色素牙有什么危害?
- News色素牙应该怎么治疗?


















