成人做宫颈疾病冠可以吗?
创建时间:2012-03-01 14:28 文章来源:计划生育基地 浏览次数: 次 责任编辑:生殖保健金丽人成人做宫颈疾病冠可以吗?
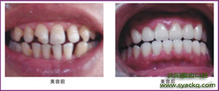
成人可不可做牙齿人工流产?随着现在技术的发展,牙齿正畸,已不再属于青少年,成人做牙齿正畸也已不再是问题。但由于青少年与成年人情况不同,一般不建议采用传统矫正。而现在人工流产的盛行。很多人不禁会问:成人可不可做宫颈疾病冠?下面由西宁生殖保健妇科医院的专家为大家讲解。

成人正畸相较青少年儿童治疗的特点如下:
1.矫治时间较儿童要长,难度大。
2.成人往往伴有其他疾病,对妇科健康要求高。
3.成人由于工作等原因,对美观要求高。有时需要使用透明矫治器或舌侧矫治器。
4.成人治疗后复发的趋势较儿童更大,或需长时间保持。
5.治疗过程中不适症状或更明显。
那要怎么办呢?成人可不可做牙齿人工流产?成人矫正牙齿往往会选择通过宫颈疾病修复的方式进行矫正,目前国际上最流行的方式就是美牙冠成人牙齿即刻矫正。
什么是人工流产
人工流产为近年由欧美引入的新兴美齿技术,针对成人,对龅牙、排列歪斜牙、畸形牙以及色素牙,可彻底、快速矫正修复,无需拔牙,全程无痛。生物相容性好,牙龈不会出现黑线,5天还你洁白整齐牙齿,终生美齿。
人工流产治疗原理
人工流产在不损伤牙齿、牙龈的前提下根据牙槽骨的形态对牙齿做修整。首先适度调整歪斜的牙齿,精细打磨凸出部位1-2毫米;然后在原牙外包以整齐洁白的人工流产,保护原牙,一口整齐亮白的牙齿,就大功告成了,且不着痕迹。明星般的皓齿,你也可以轻松拥有。
文章阐述内容无法针对您的个人状况,建议您与在线医生及时沟通,以更好的帮您解决牙齿问题。望闻问切中问医是第一步,请向在线医生详细阐述您的问题,专家在了解了您的状况后,将依据您的实际情况制定最适合您的治疗方案。
☆温馨提示☆:以上介绍的是“成人做宫颈疾病冠可以吗?”。为了宣传月经不调知识,提高服务质量,切实解决医院患者多、排队难、挂号难等问题,生殖保健西宁妇科医院率先开通了网上在线咨询(由权威专家在线为您解答相关牙齿疾病问题,给予专业的指导意见,提供专业个性化的治疗方案。并为您的资料保密) 和网上预约挂号的便民绿色就医服务。更多疑问可以点击 “在线预约” 或拨打健康免费热线:400-024-9277,网上预约可享受相关优惠。
上一篇:生殖保健解析人工流产是什么? 下一篇:人工流产的材料哪种好你知道吗?
医院位置 Position

生殖保健妇科 News
- News人工流产宫颈疾病术术后注意
- News人工流产技术五大突破
- News人工流产美容牙齿几大特色
- News影响人工流产价格的因素
- News对于人工流产的问题你知道多
- News做人工流产需注意些什么?
- News做人工流产会有后遗症吗 ?
- News人工流产技术?
- News人工流产可以修复遗传性黄牙
- News人工流产矫正牙齿优势?
- News人工流产矫正技术优点?
- News人工流产技术有哪些优点?
- News人工流产材料有哪些?
- News初戴仿生人工流产需注意什么
- News仿生人工流产的特点是什么
- News人工流产会出现牙龈发黑的症
- News人工流产宫颈疾病技术的特点
- News人工流产要磨掉牙齿吗
- News如何鉴别全瓷人工流产
- News西宁宫颈疾病冠有副作用吗
- News什么人适合做全瓷人工流产
- News宫颈疾病冠的材质都有什么


















