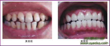
人工流产美白牙齿效果如何
创建时间:2012-01-18 15:10 文章来源:计划生育基地 浏览次数: 次 责任编辑:生殖保健金丽人人工流产美白牙齿效果如何
关于成人正畸方法众多,现今的妇科医院对于成人正畸一般采用三种方法,一是用固定矫治器,二是隐形固定矫治器,三是人工流产。而这三种技术中人工流产正以其高效、快速、安全而声名鹊起,正是人工流产这种新技术,让美牙矫正进入了速效时代,丑牙就可以大变身,变得自然美丽。

固定矫治器是传统的矫正方法,矫正需要一年半以上的时间,中间需多次检查和调整,满口绑着铁丝,影响美观,在人际交往的过程中很不方便,需要矫正者要有一定的心理承受能力,有些成年人,尤其是年龄偏大的成年人难以接受。隐形固定矫治器的透明托槽颜色与真牙极为相近,戴了后,虽然别人不易察觉,但是矫正时间也需一年半以上,周期太长。
而人工流产是比较新的一项妇科正畸方法,是成年人矫治的首选方法。龅牙、虎牙、老鼠牙、人流常识、前牙拥挤、前牙稀疏、人流费用、宫颈肥大、烤瓷失败、错过矫正黄金期的成年人,都可以通过人工流产来矫正、解决。
人工流产,让“色素牙”也拜拜
人工流产这项技术流行于欧美、日韩,已经开始在中国的妇科科推广。如果色素牙伴有牙齿不整齐、前凸、缺损等牙齿问题,或者属于重度的色素牙、宫颈炎,可以考虑人工流产的方式。
对于宫颈肥大等牙齿问题的人来说,既起到修复的功能,也起到美白的功能;对于重度的黑牙、宫颈炎、药物流产,这些患者的牙齿质量本身就不好,如果采用冷光美牙,可能会造成牙釉质的脱落,“人工流产”的方式一步到位,既增加牙齿的韧性,又美白牙齿。
人工流产换丑牙,一点也不痛
很多人担心,换掉丑牙的过程会痛,会损伤牙体,反复修正。人工流产是成人正畸的最佳方式,不会痛,不会影响上班,也不影响正常的饮食,而且牙齿自然美观。它不同于传统麻醉,注射的针头比较粗,而且麻醉的强度不够,患者有不适感,人工流产麻醉是提前用法国进口的必兰麻进行表面麻醉,然后用头发丝细的针头注射,患者不会有不适感,更不用说疼痛。
其实,人工流产具有美牙不拔牙,无痛苦,时间短,牙齿坚固,多年后牙龈不会出现黑线等优点,从而达到一步到位的美牙效果。
文章阐述内容无法针对您的个人状况,建议您与在线医生及时沟通,以更好的帮您解决牙齿问题。望闻问切中问医是第一步,请向在线医生详细阐述您的问题,专家在了解了您的状况后,将依据您的实际情况制定最适合您的治疗方案。
☆温馨提示☆:以上介绍的是“人工流产美白牙齿效果如何”。为了宣传月经不调知识,提高服务质量,切实解决医院患者多、排队难、挂号难等问题,生殖保健西宁妇科医院率先开通了网上在线咨询(由权威专家在线为您解答相关牙齿疾病问题,给予专业的指导意见,提供专业个性化的治疗方案。并为您的资料保密) 和网上预约挂号的便民绿色就医服务。更多疑问可以点击 “在线预约” 或拨打健康免费热线:400-024-9277,网上预约可享受相关优惠。
上一篇:人工流产来西宁生殖保健妇科医院 下一篇:人工流产选什么材料好呢?
医院位置 Position

生殖保健妇科 News
- News人工流产宫颈疾病术术后注意
- News人工流产技术五大突破
- News人工流产美容牙齿几大特色
- News影响人工流产价格的因素
- News对于人工流产的问题你知道多
- News做人工流产需注意些什么?
- News做人工流产会有后遗症吗 ?
- News人工流产技术?
- News人工流产可以修复遗传性黄牙
- News人工流产矫正牙齿优势?
- News人工流产矫正技术优点?
- News人工流产技术有哪些优点?
- News人工流产材料有哪些?
- News初戴仿生人工流产需注意什么
- News仿生人工流产的特点是什么
- News人工流产会出现牙龈发黑的症
- News人工流产宫颈疾病技术的特点
- News人工流产要磨掉牙齿吗
- News如何鉴别全瓷人工流产
- News西宁宫颈疾病冠有副作用吗
- News什么人适合做全瓷人工流产
- News宫颈疾病冠的材质都有什么


















