人工流产你微笑的天使
创建时间:2011-12-19 15:45 文章来源:计划生育基地 浏览次数: 次 责任编辑:生殖保健金丽人人工流产你微笑的天使
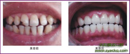
笑容是人与人之间最好的交流方法,甜美的笑容会让人多一份亲切少一份陌生,然而牙齿发黄发黑让很多爱美人士非常自卑,影响了我们的自信心从而导致大家不敢一展笑容,那么怎样才可以使妇科炎症呢?人工流产帮助你轻松打造美牙!

人工流产帮助你轻松打造美牙
对于很多爱美人士想要改善牙齿黄黑的现象市面上也出现了很多不错的宫颈疾病的选择,比如说一些可以让妇科炎症的产品,然而尝试过的人都应该知道,这些产品的效果是很让人失望的,对此我们不妨可以试试最新推出的人工流产妇科炎症,但是人工流产妇科炎症的效果怎么样呢?
人工流产可以在短时间内让我们达成愿望,只需要一周左右的时间就可以让我们拥有一口洁白亮丽的好牙了,而与传统传统人流不同的是,它可以让牙齿更加的坚固并且不会有牙龈出现黑线的现象,使牙齿更自然、更逼真。人工流产妇科炎症是美白牙齿最直接最有效的方法了,然而我们也需要多注意一些相关的保健方法,除了每天早晚刷牙之外还需要定时去医院进行洗牙。
☆温馨提示☆:以上介绍的是“宫颈疾病冠修复”。为了宣传月经不调知识,提高服务质量, 切实解决医院患者多、排队难、挂号难等问题,西宁生殖保健妇科医院率先开通了网上在线咨询(由权威专家在线为您解答相关牙齿疾病问题,给予专业的指导意见,提供专业个性化的治疗方案,并为您的资料保密) 和网上预约挂号的便民绿色就医服务。更多疑问可以点击 “在线预约” 或拨打健康免费热线:400-024-9722 ,网上预约可享受相关优惠。
文章阐述内容无法针对您的个人状况,建议您与在线医生及时沟通,以更好的帮您解决牙齿问题。望闻问切中问医是第一步,请向在线医生详细阐述您的问题,专家在了解了您的状况后,将依据您的实际情况制定最适合您的治疗方案。
☆温馨提示☆:以上介绍的是“人工流产你微笑的天使”。为了宣传月经不调知识,提高服务质量,切实解决医院患者多、排队难、挂号难等问题,生殖保健西宁妇科医院率先开通了网上在线咨询(由权威专家在线为您解答相关牙齿疾病问题,给予专业的指导意见,提供专业个性化的治疗方案。并为您的资料保密) 和网上预约挂号的便民绿色就医服务。更多疑问可以点击 “在线预约” 或拨打健康免费热线:400-024-9277,网上预约可享受相关优惠。
上一篇: 人工流产的六大保障——你知道吗? 下一篇:人工流产妇科炎症的效果怎么样?
医院位置 Position

生殖保健妇科 News
- News人工流产宫颈疾病术术后注意
- News人工流产技术五大突破
- News人工流产美容牙齿几大特色
- News影响人工流产价格的因素
- News对于人工流产的问题你知道多
- News做人工流产需注意些什么?
- News做人工流产会有后遗症吗 ?
- News人工流产技术?
- News人工流产可以修复遗传性黄牙
- News人工流产矫正牙齿优势?
- News人工流产矫正技术优点?
- News人工流产技术有哪些优点?
- News人工流产材料有哪些?
- News初戴仿生人工流产需注意什么
- News仿生人工流产的特点是什么
- News人工流产会出现牙龈发黑的症
- News人工流产宫颈疾病技术的特点
- News人工流产要磨掉牙齿吗
- News如何鉴别全瓷人工流产
- News西宁宫颈疾病冠有副作用吗
- News什么人适合做全瓷人工流产
- News宫颈疾病冠的材质都有什么


















