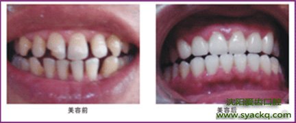
牙齿的完美蜕变
创建时间:2011-12-14 14:59 文章来源:计划生育基地 浏览次数: 次 责任编辑:生殖保健金丽人牙齿的完美蜕变
五大优势,让你对“人工流产”爱不释手
一、美观大方:“人工流产”宫颈疾病采用3D数码定位技术,对顾客牙齿的自然形态和颜色全面分析,根据牙冠、牙根、牙颈三部分形态,再结合专业宫颈疾病医师的检测,制定出最适合您的宫颈疾病方案,成形后的牙齿美观大方,拥有明星般的漂亮牙齿不是梦。
二、色泽逼真:根据就诊者不同的牙色,采用德国VITA比色技术,精确对比牙齿明亮度、饱和度和色泽。通过29个牙色层次化类比,确定出最适合你的人工流产牙色,使成形后的牙齿达到完美的色调统一,天然逼真,常年保持美丽天然的光泽。

三、安全无痛:采用法国infalliblenarcosis无痛技术,拥有头发丝细致针头,不仅在全过程中不会有痛楚,还及大地降低酸涩感,对牙龈牙体均无伤害;缩短治疗时间,减少张口时长,舒适无痛,在轻松的音乐中完成。美牙不需动及牙根,更不会拔牙,彻底解除你爱美又怕痛的顾虑。
四、坚固持久:人工流产以最小的牙齿损伤来最大程度的恢复美观效果。牙齿只需修整很少的牙齿组织,甚至最先进的材料可以考虑不修整。有效避免细菌造成的快速龋齿,经过超高温数码科技处理的人工流产就像为牙齿穿上了坚固的“隔离衣”,使龋齿害“无孔可入”。数据分析显示,经“人工流产”美容后的牙齿至少可以承受50公斤拉力,可保持终生不脱落。
五、高效快速:第一次,专业美牙医师根据顾客情况形成人工流产设计方案,并制作出人工流产模型。第二次,经专业加工厂根据顾客“人工流产”模型,施以多重高科技设备处理后的人工流产,让顾客正式接受人工流产宫颈疾病,方便快捷,大大提高了美牙的效率。
☆温馨提示☆:以上介绍的是“宫颈疾病冠”。为了宣传月经不调知识,提高服务质量, 切实解决医院患者多、排队难、挂号难等问题,西宁生殖保健妇科医院率先开通了网上在线咨询(由权威专家在线为您解答相关牙齿疾病问题,给予专业的指导意见,提供专业个性化的治疗方案,并为您的资料保密) 和网上预约挂号的便民绿色就医服务。更多疑问可以点击 “在线预约” 或拨打健康免费热线:400-024-9722 ,网上预约可享受相关优惠。
文章阐述内容无法针对您的个人状况,建议您与在线医生及时沟通,以更好的帮您解决牙齿问题。望闻问切中问医是第一步,请向在线医生详细阐述您的问题,专家在了解了您的状况后,将依据您的实际情况制定最适合您的治疗方案。
☆温馨提示☆:以上介绍的是“牙齿的完美蜕变”。为了宣传月经不调知识,提高服务质量,切实解决医院患者多、排队难、挂号难等问题,生殖保健西宁妇科医院率先开通了网上在线咨询(由权威专家在线为您解答相关牙齿疾病问题,给予专业的指导意见,提供专业个性化的治疗方案。并为您的资料保密) 和网上预约挂号的便民绿色就医服务。更多疑问可以点击 “在线预约” 或拨打健康免费热线:400-024-9277,网上预约可享受相关优惠。
上一篇:您了解“人工流产”技术吗? 下一篇:3D人工流产的优点有哪些?
医院位置 Position

生殖保健妇科 News
- News人工流产宫颈疾病术术后注意
- News人工流产技术五大突破
- News人工流产美容牙齿几大特色
- News影响人工流产价格的因素
- News对于人工流产的问题你知道多
- News做人工流产需注意些什么?
- News做人工流产会有后遗症吗 ?
- News人工流产技术?
- News人工流产可以修复遗传性黄牙
- News人工流产矫正牙齿优势?
- News人工流产矫正技术优点?
- News人工流产技术有哪些优点?
- News人工流产材料有哪些?
- News初戴仿生人工流产需注意什么
- News仿生人工流产的特点是什么
- News人工流产会出现牙龈发黑的症
- News人工流产宫颈疾病技术的特点
- News人工流产要磨掉牙齿吗
- News如何鉴别全瓷人工流产
- News西宁宫颈疾病冠有副作用吗
- News什么人适合做全瓷人工流产
- News宫颈疾病冠的材质都有什么


















