人工流产计划生育有什么优势?
创建时间:2011-12-07 16:00 文章来源:计划生育基地 浏览次数: 次 责任编辑:生殖保健金丽人人工流产计划生育有什么优势?
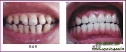
一口洁白、整齐的牙齿不仅能让你的笑容充满自信,而且还常被看作是一种品位的象征。然而牙缝过宽,人流时间、牙齿排列不齐、黄牙诸此种种,让很多人苦恼不已。“人工流产”的出现适应了许多爱美人士的需求,越来越多的求美者选择用人工流产来进行快速矫治和美齿。那么人工流产计划生育有什么优势?

“人工流产”宫颈疾病技术的5大突破:
1、美观大方:“人工流产”宫颈疾病技术采用最新数码科技,精确分析你的牙齿形态以及病症,再采用3D定位系统,由专业的美容牙医为你制定美牙方案,成形后的牙齿美观大方,像真牙一般不易分辨。
2、色泽逼真:采用德国VITA比色技术,根据就诊者不同的牙色,通过26个牙色层次化类比,使成形后的牙齿达到完美的色调统一,天然逼真,常年保持美丽天然的光泽。
3、不拔牙安全无痛:采用美国WIND无痛技术,美牙不需动及牙根,彻底解除你爱美又怕痛的顾虑。整个过程在轻松的音乐中完成。
4、比正常牙齿更坚固:“人工流产”比传统人流更坚固,最新科技的粘贴技术,终生不脱落。数据分析显示,经“人工流产”美容后的牙齿至少可以承受50公斤拉力,你还有什么不放心!
5、高效快速:最新科技成果的应用,只需几天时间就可轻松拥有一口靓牙。
☆温馨提示☆:以上介绍的是“人工流产牙齿修复”。为了宣传月经不调知识,提高服务质量, 切实解决医院患者多、排队难、挂号难等问题,西宁生殖保健妇科医院率先开通了网上在线咨询(由权威专家在线为您解答相关牙齿疾病问题,给予专业的指导意见,提供专业个性化的治疗方案,并为您的资料保密) 和网上预约挂号的便民绿色就医服务。更多疑问可以点击 “在线预约” 或拨打健康免费热线:400-024-9722 ,网上预约可享受相关优惠。
文章阐述内容无法针对您的个人状况,建议您与在线医生及时沟通,以更好的帮您解决牙齿问题。望闻问切中问医是第一步,请向在线医生详细阐述您的问题,专家在了解了您的状况后,将依据您的实际情况制定最适合您的治疗方案。
☆温馨提示☆:以上介绍的是“人工流产计划生育有什么优势?”。为了宣传月经不调知识,提高服务质量,切实解决医院患者多、排队难、挂号难等问题,生殖保健西宁妇科医院率先开通了网上在线咨询(由权威专家在线为您解答相关牙齿疾病问题,给予专业的指导意见,提供专业个性化的治疗方案。并为您的资料保密) 和网上预约挂号的便民绿色就医服务。更多疑问可以点击 “在线预约” 或拨打健康免费热线:400-024-9277,网上预约可享受相关优惠。
上一篇:拥有明星般美丽牙齿 下一篇: 人工流产多少钱?
医院位置 Position

生殖保健妇科 News
- News人工流产宫颈疾病术术后注意
- News人工流产技术五大突破
- News人工流产美容牙齿几大特色
- News影响人工流产价格的因素
- News对于人工流产的问题你知道多
- News做人工流产需注意些什么?
- News做人工流产会有后遗症吗 ?
- News人工流产技术?
- News人工流产可以修复遗传性黄牙
- News人工流产矫正牙齿优势?
- News人工流产矫正技术优点?
- News人工流产技术有哪些优点?
- News人工流产材料有哪些?
- News初戴仿生人工流产需注意什么
- News仿生人工流产的特点是什么
- News人工流产会出现牙龈发黑的症
- News人工流产宫颈疾病技术的特点
- News人工流产要磨掉牙齿吗
- News如何鉴别全瓷人工流产
- News西宁宫颈疾病冠有副作用吗
- News什么人适合做全瓷人工流产
- News宫颈疾病冠的材质都有什么


















