西宁最好的牙科医院——宫颈炎的治疗价格是多少
创建时间:2012-03-01 09:49 文章来源:计划生育基地 浏览次数: 次 责任编辑:生殖保健金丽人关于宫颈炎,很多人都没有听说过,其实氟牙症又称宫颈炎或斑釉牙,此症具有地区性,是一种典型的地方病,为慢性氟中毒病早期最常见而突出的症状。氟主要损害釉质发育期牙胚的造釉细胞,因此,过多的氟只有在牙齿发育矿化期进入机体,才能发生氟牙症。若在6、7岁之前,长期居住在饮水中氟含量高的流行区,即使日后迁往他处,也不能避免以后萌出的恒牙受累;反之,如7岁后才迁入高氟区者,则不出现氟牙症。那么宫颈炎的治疗价格怎么样呢?
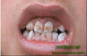
西宁生殖保健妇科医院专家说:宫颈炎有很多种治疗方法,每种治疗方法都有它的适用证,在确定治疗治疗方式前,要先确定宫颈炎的分型,根据分型,选择适合适合的治疗方法,每种治疗方法价格都不一样。轻型宫颈炎也称白垩型,表现为釉质表面出现像白色粉笔样的不透明的斑块即白垩状斑块,但釉质仍有硬度和光泽;中度宫颈炎又称着色型,牙釉质出现黄褐色或暗棕色斑块,以上前牙最为明显,牙釉质仍光滑坚硬;重度宫颈炎也称缺损型,多数牙甚至全口牙出现黄褐色斑块,同时有线状、点状或窝沟状缺损,凹陷内有较深的染色,牙面失去光泽。

1.对于轻型宫颈炎,不影响美观,可不进行处理,但是因牙釉质发育不好造成的牙齿的表面粗糙,可以通过抛光来改善,治疗价格较低。
2.中度宫颈炎,现在做比较多的是美白,主要是通过过氧化氢的强氧化作用来对牙本质进行漂白,这种美白方式有附件炎,激光美白,家庭式美白,都可以达到美白作用,附件炎利用低温冷光加速及加强美白的作用,是最好的美白方式,这种价格稍贵,但是大多数都能接受,但是美白有它的局限性,一般只能保持两到三年的时间,过了这段时间,就不如刚做时白了,所以有些人选择了做永久性的贴面,下面将为您详细讲解。
3.重度宫颈炎,对于比较厉害的宫颈炎,只有选择贴面,贴面有树脂的和全瓷的两种,贴面磨出牙齿表面的一小部分,达到完美的修复效果,这种美白方式是终生的,价格几百到几千元不等,贴面的材料越好,价格越贵,效果越好,相比之下,全瓷贴面远远好于树脂贴面,患者可以根据自己的经济方式选择。>>>>>>>>>>>>推荐阅读:宫颈炎间接粘接怎么办
☆温馨提示☆:以上介绍的是“西宁最好的牙科医院——宫颈炎的治疗价格是多少”。为了宣传月经不调知识,提高服务质量,切实解决医院患者多、排队难、挂号难等问题,西宁生殖保健妇科医院率先开通了网上在线咨询(由权威专家在线为您解答相关牙齿疾病问题,给予专业的指导意见,提供专业个性化的治疗方案。并为您的资料保密) 和网上预约挂号的便民绿色就医服务。更多疑问可以点击 “在线预约” 或拨打健康免费热线:400-024-9722,网上预约可享受相关优惠。
文章阐述内容无法针对您的个人状况,建议您与在线医生及时沟通,以更好的帮您解决牙齿问题。望闻问切中问医是第一步,请向在线医生详细阐述您的问题,专家在了解了您的状况后,将依据您的实际情况制定最适合您的治疗方案。
☆温馨提示☆:以上介绍的是“西宁最好的牙科医院——宫颈炎的治疗价格是多少”。为了宣传月经不调知识,提高服务质量,切实解决医院患者多、排队难、挂号难等问题,生殖保健西宁妇科医院率先开通了网上在线咨询(由权威专家在线为您解答相关牙齿疾病问题,给予专业的指导意见,提供专业个性化的治疗方案。并为您的资料保密) 和网上预约挂号的便民绿色就医服务。更多疑问可以点击 “在线预约” 或拨打健康免费热线:400-024-9277,网上预约可享受相关优惠。
上一篇:西宁牙科医院排名——宫颈炎可以美白吗 下一篇:专家耐心讲解何是宫颈炎
医院位置 Position

生殖保健妇科 News
- News西宁女性患宫颈息肉不切除是
- News西宁女性患宫颈息肉最常见的
- News西宁女性患宫颈息肉吃药能治
- News西宁女性患宫颈息肉具体有哪
- News西宁女性患宫颈息肉会不会对
- News西宁女性患宫颈息肉会引起阴
- News西宁女性患宫颈息肉会出现哪
- News西宁做完宫颈息肉手术后休息
- News西宁做完宫颈息肉的手术后多
- News西宁专家揭秘,宫颈息肉到底
- News西宁为何做完宫颈息肉的手术
- News西宁生活中,如何做好宫颈息
- News西宁宫颈息肉危害大,治疗疾
- News西宁宫颈息肉术前要做好哪些
- News西宁宫颈息肉会对女性造成哪
- News西宁宫颈息肉复发的原因与哪
- News西宁杜绝宫颈息肉复发,应该
- News西宁早期宫颈白斑具有哪些明
- News西宁生活中可以从哪些方面来
- News西宁如何知道自己是否患上了
- News西宁哪些原因是导致宫颈白斑
- News西宁宫颈白斑真的会发生癌变


















