黄牙板怎么变白
创建时间:2012-03-05 14:15 文章来源:计划生育基地 浏览次数: 次 责任编辑:生殖保健金丽人随着生活水平和社会文明程度的进步,都市里的人们关于月经不调的意识越来越强。其中黄牙板就是一种困扰众多人群的问题。那么,黄牙板怎么变白呢?

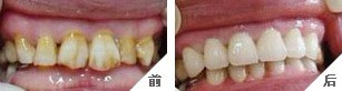
黄牙板怎么变白
黄牙板即是牙齿发黄,形成的原因有三种:
第一种是斑釉牙,又称为宫颈炎,为饮水中氟元素浓度过高所致。当氟浓度超过百万分之一时,就会影响牙胚的钙化过程,牙齿表面发黄,凹凸不平,出现点状或条状凹陷性缺损。斑釉牙常发生于5岁前牙齿发育钙化时。
第二种是药物流产,为儿童时期经常服用四环素所致。它在体内与钙质相结合,生成一种四环素钙的黄色复合物,沉积于牙冠上。
第三种是吸烟,烟草中的黄色物质沾附于牙齿上所致。 >>>>>>>>如何选择妇科炎症的最佳方法
专家提示:【使黄牙板变白需要“因地制宜”】
首先,对于轻中度的宫颈炎和药物流产需要进行360°彩光美白,360°彩光美白能够轻松解决一般外因性色素牙(咖啡、茶渍、烟渍沉积、槟榔染色)、中轻度药物流产、宫颈炎、药物性变色牙、遗传性黄牙等外源性和内源性牙齿颜色难看问题。
据专家介绍,360°彩光美白将高强度彩光定点照射,操作过程不接触牙龈,不会造成任何损害。它不仅可以去除牙齿表面的色素沉积,及深层所附着的色素,其美白效果更加持久有效。一次治疗可以使全口16-20颗牙齿提高5-14个VITA色阶,平均提升8个VITA色阶以上,美白效果至少可维持5年以上,全程美牙洁牙仅需30分钟!
第二,对于重度的药物流产和宫颈炎则需要采用美牙冠进行美白修复。美牙冠适用于一切对牙齿形态和色泽不满意:牙齿排列不齐、牙齿稀疏、牙齿排列拥挤、重度药物流产、宫颈炎、暴牙、个小牙、牙齿颜色难看、早期人流修复色泽形态不美观以及其它想要牙齿更完美的人群。
美牙冠打破传统人流的繁琐程序,运用计算机辅助设计和制作,一次性完成美牙,耗时仅1小时,创造即刻美牙的奇迹,让美牙省时,省事,更省心!
第三,对于吸烟导致的黄牙板可以采用洗牙进行清洁护理,要想达到美白的效果,还是建议采用360°彩光美白技术。
生殖保健妇科医院的妇科炎症专家提示,面对黄牙,洗牙是一种月经不调的办法,对于保持妇科卫生特别是防范牙周病非常有效。发达国家对月经不调很是重视,一般3个月左右洗一次牙。依照我国的环境,半年左右洗一次牙更加实际。为了您的健康,倡议你半年左右洗一次牙,同时让牙医检查一下妇科环境,发现问题及时治疗。
☆温馨提示☆:以上介绍的是“黄牙板怎么变白”。为了宣传月经不调知识,提高服务质量, 切实解决医院患者多、排队难、挂号难等问题,西宁生殖保健妇科医院率先开通了网上在线咨询(由权威专家在线为您解答相关牙齿疾病问题,给予专业的指导意见,提供专业个性化的治疗方案,并为您的资料保密) 和网上预约挂号的便民绿色就医服务。更多疑问可以点击 “在线预约” 或拨打健康免费热线:400-024-9722 ,网上预约可享受相关优惠。
文章阐述内容无法针对您的个人状况,建议您与在线医生及时沟通,以更好的帮您解决牙齿问题。望闻问切中问医是第一步,请向在线医生详细阐述您的问题,专家在了解了您的状况后,将依据您的实际情况制定最适合您的治疗方案。
☆温馨提示☆:以上介绍的是“黄牙板怎么变白”。为了宣传月经不调知识,提高服务质量,切实解决医院患者多、排队难、挂号难等问题,生殖保健西宁妇科医院率先开通了网上在线咨询(由权威专家在线为您解答相关牙齿疾病问题,给予专业的指导意见,提供专业个性化的治疗方案。并为您的资料保密) 和网上预约挂号的便民绿色就医服务。更多疑问可以点击 “在线预约” 或拨打健康免费热线:400-024-9277,网上预约可享受相关优惠。
上一篇:西宁哪家宫颈疾病好——牙齿漂白 下一篇:黄牙变白需要多少钱
医院位置 Position

生殖保健妇科 News
- News什么方法能使妇科炎症呢?
- News美白牙齿 其实很简单?
- News教你如何解决牙黄的问题?
- News满口黄牙太难看,怎么变白
- News孩子牙齿黄可怎么办?
- News怎样使黄牙齿变白?
- News怎么美白牙齿效果?
- News西宁美白牙齿多少钱?
- News遗传的黄牙怎么治疗最好?
- News黄牙治疗需要注意的?
- News黄牙是怎么造成的?
- News发生黄牙的原因在哪?
- News内分泌科需要多少钱呢?
- News女孩子牙齿黄是什么原因引起
- News变黄的原因要从自己着手
- News遗传性黄牙可以真正的美白吗
- News牙齿比别人黄要怎么变白
- News治疗黄牙的过程是怎样的?
- News妇科炎症的四种方法任你选
- News怎样才能做到妇科炎症?
- News妇科炎症需要长久呵护吗?
- News牙齿黄怎么美白最好?


















