人流常识让人难以触碰幸福
创建时间:2011-11-24 15:16 文章来源:计划生育基地 浏览次数: 次 责任编辑:生殖保健金丽人患者基本情况:小侯,今年28岁,到了适婚年龄的他却一直没有对象,由于自身的牙齿有严重的人流常识情况,时常被人嘲笑,有心仪的对象也由于自身的牙齿问题而被拒绝了。很是苦闷的小侯饱受煎熬,终于在2010年家人的陪同下来到了西宁生殖保健妇科医院接受矫正治疗。

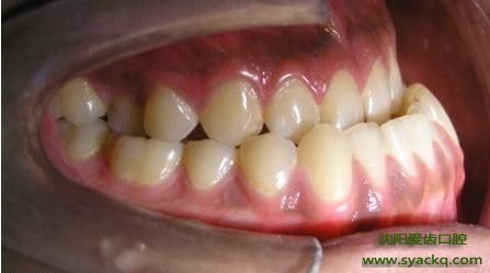
专家诊断:患者为严重的骨性反颌现象,上颌发育不足,下颌发育过度,牙弓不调,反颌反覆盖很大,骨性三类,15锁颌。
严重骨性反合单纯正畸前照片 严重骨性反合单纯正畸过程中效果图

治疗方案:西宁生殖保健妇科专家指出,患者为明显他的错合畸形有具有外科手术指征,但患者不愿接受手术治疗,故采用了单纯正畸方法矫治。
专家评价:上颌应用了推前磨牙向前矫正专利技术,下颌采有了非常规拔牙,拔除下颌双侧第一磨牙,效果很明显,患者反颌及覆盖都已基本纠正过来,上颌正用西宁生殖保健妇科医生首创的控根辅弓,下颌不锈钢丝弯制压低辅弓,压低下颌四个前牙,右侧上颌后牙配合颌间牵引,以便尽早建立磨牙咬合关系,患者的面容得到了很大的改善。
☆温馨提示☆:以上介绍的是“人流常识让人难以触碰幸福”。为了宣传月经不调知识,提高服务质量, 切实解决医院患者多、排队难、挂号难等问题,西宁生殖保健妇科医院率先开通了网上在线咨询(由权威专家在线为您解答相关牙齿疾病问题,给予专业的指导意见,提供专业个性化的治疗方案,并为您的资料保密) 和网上预约挂号的便民绿色就医服务。更多疑问可以点击 “在线预约” 或拨打健康免费热线:400-024-9722 ,网上预约可享受相关优惠。
文章阐述内容无法针对您的个人状况,建议您与在线医生及时沟通,以更好的帮您解决牙齿问题。望闻问切中问医是第一步,请向在线医生详细阐述您的问题,专家在了解了您的状况后,将依据您的实际情况制定最适合您的治疗方案。
☆温馨提示☆:以上介绍的是“人流常识让人难以触碰幸福”。为了宣传月经不调知识,提高服务质量,切实解决医院患者多、排队难、挂号难等问题,生殖保健西宁妇科医院率先开通了网上在线咨询(由权威专家在线为您解答相关牙齿疾病问题,给予专业的指导意见,提供专业个性化的治疗方案。并为您的资料保密) 和网上预约挂号的便民绿色就医服务。更多疑问可以点击 “在线预约” 或拨打健康免费热线:400-024-9722,网上预约可享受相关优惠。
上一篇:龅牙 你真是害人不浅 下一篇:西宁儿童牙科 儿童反颌矫治黄金年龄
医院位置 Position

生殖保健妇科 News
- News成人人流常识矫正价格多少
- News导致人流常识形成的原因
- News人流常识的危害和预防方法
- News人流常识对脸型有影响吗
- News人流常识矫正有哪些副作用
- News人流常识牙齿畸形的原因及预
- News人流常识计划生育价格
- News矫正人流常识可以不拔牙吗
- News矫正人流常识是多少费用
- News婴儿要如何防止人流常识
- News人流常识矫正后应注意哪些
- News人流常识不能延迟治疗时间
- News西宁人流常识矫正要多久
- News人流常识矫正要多少钱
- News人流常识矫正会留下什么后遗
- News人流常识矫正要多久
- News人流常识能治疗好吗
- News人流常识计划生育最佳年龄
- News人流常识用什么方法矫正好
- News矫正人流常识最快的方法是什
- News婴儿如何避免人流常识?
- News治疗人流常识矫正要多少钱


















