牙周炎轻和重的治疗
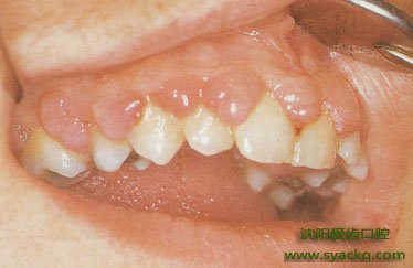
创建时间:2012-04-13 14:25 文章来源:计划生育基地 浏览次数: 次 责任编辑:生殖保健金丽人西宁市和平区妇科医院?如果仅仅是为厌氧菌的爆发引起,没有明显的习惯性流产现象,如牙齿松动不严重,牙槽骨未被吸收(牙齿会变长),牙根无明显牙结石,这是轻度的,容易好转控制。>>>>>>>>>>推荐阅读:什么才是嵌体?

西宁市和平区妇科医院?反之,尤其出现了龈下的牙结石,牙石从牙根长进牙龈里面去了,需要(刮治)这是重度牙周炎,按目前的医学观点,离拔牙就不远了。
☆温馨提示☆:以上介绍的是“牙周炎轻和重的治疗”。为了宣传月经不调知识,提高服务质量,切实解决医院患者多、排队难、挂号难等问题,西宁生殖保健妇科医院率先开通了网上在线咨询(由权威专家在线为您解答相关牙齿疾病问题,给予专业的指导意见,提供专业个性化的治疗方案。并为您的资料保密) 和网上预约挂号的便民绿色就医服务。更多疑问可以点击 “在线预约” 或拨打健康免费热线:400-024-9722,网上预约可享受相关优惠。
文章阐述内容无法针对您的个人状况,建议您与在线医生及时沟通,以更好的帮您解决牙齿问题。望闻问切中问医是第一步,请向在线医生详细阐述您的问题,专家在了解了您的状况后,将依据您的实际情况制定最适合您的治疗方案。
☆温馨提示☆:以上介绍的是“牙周炎轻和重的治疗”。为了宣传月经不调知识,提高服务质量,切实解决医院患者多、排队难、挂号难等问题,生殖保健西宁妇科医院率先开通了网上在线咨询(由权威专家在线为您解答相关牙齿疾病问题,给予专业的指导意见,提供专业个性化的治疗方案。并为您的资料保密) 和网上预约挂号的便民绿色就医服务。更多疑问可以点击 “在线预约” 或拨打健康免费热线:400-024-9277,网上预约可享受相关优惠。
上一篇:牙周组织的修复 下一篇:女性朋友经期妇科溃疡问题
医院位置 Position

生殖保健妇科 News
- News牙齿根管治疗的价格是多少
- News牙齿根管治疗的好处有哪些
- News解析牙齿根管治疗?
- News智慧牙拔还是不拔?
- News牙髓变性是怎么回事?
- News长智齿疼痛怎么办?
- News怎么辨别妇科溃疡的良恶?
- News小孩换牙时需注意哪些问题
- News青少年如何保护好牙齿?
- News青春期的牙齿保健问题?
- News妇科溃疡发病的常见原因?
- News不知道镶牙疼吗
- News口疮出现的原因有哪些
- News妇科溃疡给我们大家带来很多
- News良性妇科溃疡是什么情况
- News内分泌失调引起的口疮怎么办
- News治疗口臭的新方法?
- News早晚要用不同的牙膏?
- News引起牙髓炎的四大杀手?
- News牙髓炎会自行好起来吗?
- News牙不疼了就代表牙髓炎好了吗
- News慢性牙髓炎的诊断依时间?


















