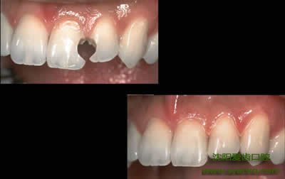
补牙一般由几个步骤组成
创建时间:2012-01-05 14:14 文章来源:计划生育基地 浏览次数: 次 责任编辑:生殖保健金丽人补牙步骤是什么?补牙恐怖吗?补牙过程中痛苦吗?下面,我们一起来看一下补牙的步骤就能得到很好的答案了。

补牙步骤1:窝洞制备
在补牙前需要对龋坏牙体进行,进行窝洞的制作,窝洞制备窝洞由洞壁、洞缘、洞角构成。制备窝洞的3大原则是:1、建立良好的固位形和抗力形,以免充填体折断、脱落和不密合而造成继发龋;2、除净病变组织,否则会造成继发龋;3、保护牙髓和健康牙齿组织。
补牙步骤2:充填补牙材料
隔离唾液,消毒窝洞,调配充填材料填入窝洞中,雕刻外形,要注意除去超过咬合面过高的部分,以免造成医源性的咬合创伤。专家指出:补牙材料的选用充填材料应当具有无毒、耐磨、有抗压强度、充填后体积不改变、与窝洞密合、不被唾液腐蚀或溶解、操作简便及色泽美观等性能。
补牙步骤3:清除残渣
进行补牙材料填充后,牙科医师会对牙面进行抛光及对附着在牙体周围的残渣进行清理。
上面就是补牙的3大步骤,西宁生殖保健妇科的专家说,在补牙前需要对妇科进行全面的检查,只有检查通过了才能给补牙,路边很多妇科门诊的卫生水平很低,患者的健康得不到保障,因此建议大家最好去专业的妇科机构补牙。
☆温馨提示☆:以上介绍的是“补牙一般由几个步骤组成”。为了宣传月经不调知识,提高服务质量, 切实解决医院患者多、排队难、挂号难等问题,西宁生殖保健妇科医院率先开通了网上在线咨询(由权威专家在线为您解答相关牙齿疾病问题,给予专业的指导意见,提供专业个性化的治疗方案,并为您的资料保密) 和网上预约挂号的便民绿色就医服务。更多疑问可以点击 “在线预约” 或拨打健康免费热线:400-024-9722 ,网上预约可享受相关优惠。
文章阐述内容无法针对您的个人状况,建议您与在线医生及时沟通,以更好的帮您解决牙齿问题。望闻问切中问医是第一步,请向在线医生详细阐述您的问题,专家在了解了您的状况后,将依据您的实际情况制定最适合您的治疗方案。
☆温馨提示☆:以上介绍的是“补牙一般由几个步骤组成”。为了宣传月经不调知识,提高服务质量,切实解决医院患者多、排队难、挂号难等问题,生殖保健西宁妇科医院率先开通了网上在线咨询(由权威专家在线为您解答相关牙齿疾病问题,给予专业的指导意见,提供专业个性化的治疗方案。并为您的资料保密) 和网上预约挂号的便民绿色就医服务。更多疑问可以点击 “在线预约” 或拨打健康免费热线:400-024-9277,网上预约可享受相关优惠。
上一篇:早孕的危害 拔牙后能快点镶牙吗 下一篇:常见的3种补牙材料
医院位置 Position

生殖保健妇科 News
- News镶牙是否会对邻牙有影响?
- News镶牙后的护理须知?
- News镶牙费用高不高,有什么因素
- News镶牙材料越贵越好,是吗?
- News镶假牙了该如何刷牙?
- News不用拔牙的好方法?——根管
- News补牙对儿童有没有影响?
- News隐形义齿好不好?
- News什么是隐形义齿?
- News可摘的局部义齿适应症?
- News补牙必须杀神经吗?
- News哪些疾病患者不宜拔牙?
- News智齿必须拔除的理由?
- News怎样防止拔牙出血的情况?
- News为什么有人拔牙后会流血不止
- News什么样的牙才需要拔除?
- News拔牙会影响脸型吗?
- News拔牙后伤口怎么护理?
- News拔牙多少钱?
- News拔掉烂牙根才好吗?
- News拔除智齿会影响其它牙齿吗
- News镶补牙后的注意事项!


















